10 Shocking Genetic Mutations In Humans That Are Actually Real - EntertainmentNews1.com

Breaking

April 18, 2017

10 Shocking Genetic Mutations In Humans That Are Actually Real

10 Shocking Genetic Mutations In Humans That Are Actually Real
In this world, bad or damaged genes can lead to mutations which just seem cruel as they often lead to bizarre deformities and totally unusual features on your body. Out of millions, there are few unlucky ones who suffer from bad health and shocking defects no matter. In this article, we bring to you 10 shocking genetic mutuations in humans and real people suffering from such unusual mutations through the video/
1. Lesch–Nyhan Syndrome


About one in 380,000 people are affected by this condition, which results in a buildup of excess uric acid beneath the skin. It causes arthritis, as well as kidney and bladder stones, but it also has neurological effects. Those who suffer from it often exhibit self-mutilating behaviours.
2. Polycephaly
Polycephaly is a congenital condition which results in an animal having two or more heads. This is the result of multiple embryos fusing, and it is the same phenomenon that results in conjoined twins.
3. Epidermodysplasia Verruciformis
This condition occurs when a person has an extreme sensitivity to HPV, and its effects produce scaly skin patches that are often compared to tree bark. Only about 195 cases have ever been reported.
4. Ectrodactyly
What was once known as “lobster claw hand” is actually ectrodactyly. It’s a condition that causes a cleft to grow on the hands and feet where there would normally be a finger or toe.
5. Hypertrichosis
Only about 50 people in the world live with hypertrichosis, which causes excessive hair growth and hair covering the whole body.
6. Congenital Methemoglobinemia
While the term is insensitive to those who suffer from this condition, they’re often referred to as Smurfs. People with too much methemoglobinemia in their blood will cause it to be a brown color, and their skin to look blue.
7. Progeria
Progeria is a rather new genetic condition, although not a hereditary one. It is usually noticeable shortly after birth and it causes that person to age much more rapidly than normal. Only about 1 in 8 million people are said to have it, and sadly, they tend to not live past their teens or early twenties.
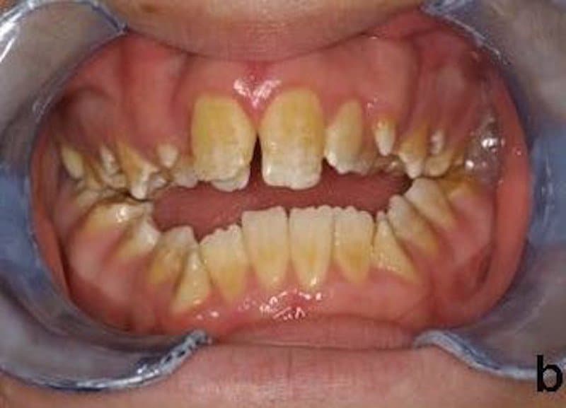
8. Amelogenisis Imperfecta
Amelogenisis Imperfecta is a tooth mutation that has 14 different variations. Depending on the variation, a person with this condition may have thin and soft tooth enamel, or even teeth with pitted holes in the centre. Luckily, it only occurs in about 1 in 14,000 people in the United States.
9. Proteus Syndrome
Proteus Syndrome is now thought to be the condition of which the famous “Elephant Man” suffered. Bones, skin, and other tissues overgrow in those who have this, so many of their features are out of proportion to the rest of them. It only occurs in less than one in one million people.
10. Mermaid Syndrome
Babies born with what is called “Mermaid Syndrome” have both of their legs fused together into one. Most babies born with this pass away due to bladder and kidney problems, but there are also reports of people that did not experience those complications and live relatively normal lives.
Check out this video for 10 real people suffering from these unusual mutations:

No comments:

Post a Comment